Description
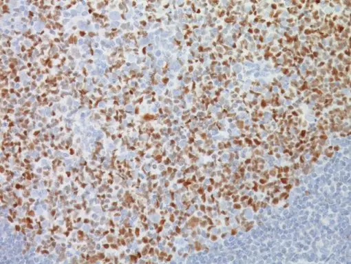
BCL-6 Mouse Monoclonal Antibody is commonly expressed in diffuse large cell lymphomas, follicular lymphomas and Burkitt’s lymphoma/leukemia. Bcl-6 protein is expressed mainly by follicle center cells, a few interfollicular T lymphocytes and in nodular lymphocyte predominant Hodgkin’s disease. However Blc-6 mouse monoclonal is not expressed in hairy cell leukemia, mantle cell or marginal-zone derived lymphomas. In humans, Bcl-6 encodes for a Kruppel-type zinc finger protein that is believed to be important in germinal center formation. The LN22 clone of Bcl-6 provides superior sensitivity compared to [PIF6].
The Bcl-6 gene, originally cloned from a tumor with 3q27 translocation, is commonly expressed in large cell lymphomas. In humans, Bcl-6 encodes for a Kruppel-type zinc finger protein that is believed to be important in germinal center formation.
SPECIFICATIONS
Specifications
| WEIGHT | N/A |
|---|---|
| DIMENSIONS | N/A |
| INTENDED USE | IVD |
| SOURCE | Mouse Monoclonal |
| CLONE | LN22 |
| ISOTYPE | IgG2b |
| ANTIGEN | AA 1-350 N-terminus human Bcl-6 oncoprotein |
| LOCALIZATION | Nuclear |
| POSITIVE CONTROL | Tonsil or Follicular Lymphoma |
DATASHEETS & SDS
ONCORE PROTOCOL
| ANTIBODY | DOWNLOAD |
|---|---|
| Download Oncore Protocol |
REFERENCES
1. Pillai RK, et al. Am J Surg Pathol. 2013 Mar; 37(3):323-32.
2. Hoefnagel JJ, et al. Br J Dermatol. 2003 Dec; 149(6):1183-91.
3. Dunphy CH, et al. Leuk Lymphoma. 2001 May; 41(5-6):585-92.
4. Dogan A, et al. Am J Surg Pathol. 2000 Jun; 24(6):846-52.
5. Yang B, et al. Am J Surg Pathol. 2000 May; 24(5):694-702.





Reviews
There are no reviews yet.