Description
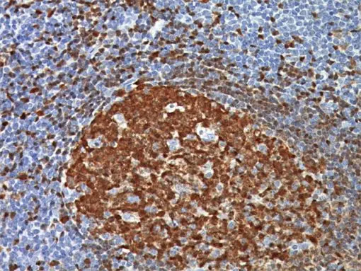
BOB-1 antibody is a B-lymphocyte-specific transcriptional co-activator for Oct-1 and Oct-2 transcription factors. BOB-1 and Oct-2 are useful for the B-lineage determination of CD20-plasmablastic or primary effusion subtypes of diffuse large B-cell lymphoma (DLBCL). Other studies have shown BOB-1, CD79a and Cyclin E are useful markers for discriminating classical Hodgkin’s lymphoma from primary mediastinal large B-cell lymphoma. The strong nuclear expression of BOB-1 and Oct-2 by germinal center derived lymphomas makes these antibodies a novel class of broad spectrum B-lineage IHC markers to aid in the differential diagnosis of lymphomas.
SPECIFICATIONS
Specifications
| WEIGHT | N/A | 
|---|---|
| DIMENSIONS | N/A | 
| INTENDED USE | IVD | 
| SPECIES REACTIVITY | Human | 
| SOURCE | Mouse Monoclonal | 
| CLONE | TG14 | 
| ISOTYPE | IgG1 | 
| ANTIGEN | Prokaryotic recombinant protein containing 116 amino acids of the C-terminus of BOB-1 | 
| LOCALIZATION | Nuclear | 
| POSITIVE CONTROL | Tonsil | 
DATASHEETS & SDS
REFERENCES
1. Hoeller S, et al. Histopathology. 2010 Jan; 56(2):217-28.
2. Advani AS, et al. Leuk Lymphoma. 2010 Apr; 51(4):606-12.
3. McCune RC, Syrbu SI, Vasef MA. Mod Pathol. 2006 Jul; 19(7):1010-8.
4. Chu PG, et al. Am J Clin Pathol. 2006 Oct; 126(4):534-44.
5. Browne P, et al. Am J Clin Pathol. 2003 Nov; 120(5):767-77.
								




			
Reviews
There are no reviews yet.