Description
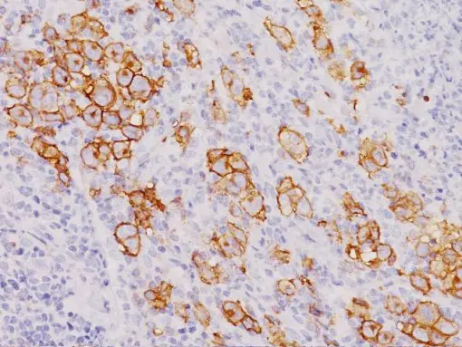
CD30 cocktail antibody is expressed in mononuclear Hodgkin’s and multinucleated Reed-Sternberg cells in Hodgkin’s disease, in tumor cells of a majority of anaplastic large cell lymphomas, in a varying proportion of activated T and B cells and by embryonal carcinomas. It aids in distinguishing large cell lymphomas derived from activated lymphoid cells, from histiocytic malignancies and lymphomas derived from resting and precursor lymphoid cells, or from anaplastic carcinomas. The CD30 Cocktail is a combination of two monoclonal antibodies, which may be more effective than other single clone CD30 antibodies.
SPECIFICATIONS
Specifications
| WEIGHT | N/A |
|---|---|
| DIMENSIONS | N/A |
| INTENDED USE | IVD |
| SPECIES REACTIVITY | Human |
| SOURCE | Mouse Monoclonal |
| CLONE | BerH2 + Con6D/B5 |
| ISOTYPE | IgG1/kappa |
| ANTIGEN | CD30 |
| LOCALIZATION | Cell Membrane |
| POSITIVE CONTROL | Hodgkin’s or anaplastic large cell lymphoma |
DATASHEETS & SDS
REFERENCES
1. Tilly H, et al. Blood. 1997 Nov; 90(9):3727-34.
2. Filippa DA, et al. Blood. 1996 Apr; 87(7):2905-17.
3. Clavio M, et al. Leuk Lymphoma. 1996 Jul; 22(3-4):319-27.
4. Pallesen G, Hamilton-Dutoit SJ. Am J Pathol. 1988 Dec; 133(3):446-50.





Reviews
There are no reviews yet.