CD4 (RM)

Categories: , ,

Description

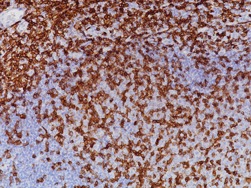
CD4, a member of the immunoglobulin superfamily, is a transmembrane glycoprotein, expressed on mature thymocytes, T-helper cells, the majority of mature peripheral T cells, and a subset of suppressor or cytotoxic T cells (1). In lymphoid tissue, CD4 expression can be found in the paracortical T zone. CD4+ T cells are also seen scattered in germinal center and mantle zone. CD4 is expressed in the majority of mature T-cell lymphomas (2). CD4 has been used in lymphoma panels that include CD3, CD5, CD8, CD7 and TIA-1 (2-3). A CD4 numerical assessment has been useful in HIV-infected individuals, as HIV infection depletes CD4+ T cells and has a strong association with the level of systemic CD4+ T cell activation (4). Tumor infiltrating CD4+ T cells may also be a prognostic factor for the strategy of early antitumor immunity (5).

SPECIFICATIONS

Specifications

FORMAT PrediluteVALENT
VOLUME 20 ml6.0 ml
INTENDED USE IVD
BY LETTER C
CLONE EP204
ISOTYPE IgG
SOURCE Rabbit Monoclonal
POSITIVE CONTROL Tonsil
LOCALIZATION Cell Membrane

Reviews

There are no reviews yet.

Be the first to review “CD4 (RM)”

Your email address will not be published. Required fields are marked *