Description
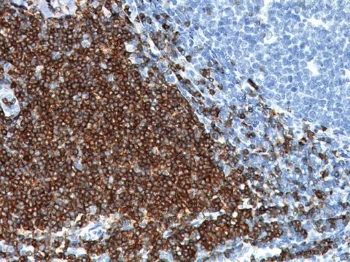
The CD7 molecule is a membrane-bound glycoprotein of 40 kDa and is the earliest T-cell specific antigen to be expressed in lymphocytes. CD7 is expressed in the majority of thymocytes, peripheral blood T-cells and natural killer cells. Reports state that CD7 staining is significantly lower in mycosis fungoides than in benign dermatoses. Studies have shown that when used in combination with CD4, CD7 has been useful for differentiating mycosis fungoides or Sezary syndrome, both cutaneous T-cell lymphomas, from benign dermatoses.
SPECIFICATIONS
Specifications
| WEIGHT | N/A |
|---|---|
| DIMENSIONS | N/A |
| INTENDED USE | IVD |
| SPECIES REACTIVITY | Human |
| SOURCE | Mouse Monoclonal |
| CLONE | LP15 |
| ISOTYPE | IgG1 |
| ANTIGEN | CD7 |
| LOCALIZATION | Cell surface/membrane |
| POSITIVE CONTROL | Tonsil |
DATASHEETS & SDS
INTERNATIONAL
ONCORE PROTOCOL
| ANTIBODY | DOWNLOAD |
|---|---|
| Download Oncore Protocol |
REFERENCES
1. Scala E, et al. J Invest Dermatol. 1999 Oct; 113(4):622-7.
2. Kim YH, Hoppe RT. Semin Oncol. 1999 Jun; 26(3):276-89.
3. Cotta AC, et al. Appl Immunohistochem Mol Morphol. 2006 Sep; 14(3):291-5.





Reviews
There are no reviews yet.