Description
The Insulin-like Growth Factor 1 Receptor (IGF-1R antibody) is a trans-membrane receptor that is activated by Insulin-like Growth Factor (IGF-1 antibody). IGF-1 stimulates mitosis and inhibits apoptosis thus enhancing cell survival. It is expressed in all tissues and is highly over-expressed in most malignant tissues. IGF-1 has been shown to induce hypoxia-inducible factor-1 (HIF-1) mediated vascular endothelial growth factor (VEGF) expression. Studies show IGF-1 to be a likely predictor for resistance to anti-EGFR antibody treatment in K-RAS wild type colorectal cancer. IGF-1 and K-RAS analysis may offer an effective strategy for selection of responding colorectal cancer patients.
SPECIFICATIONS
Specifications
| INTENDED USE | IVD |
|---|---|
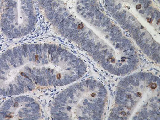
| SPECIES REACTIVITY | Human |
| SOURCE | Mouse Monoclonal |
| CLONE | BC10, Biocare Clone |
| ISOTYPE | IgG2a |
| ANTIGEN | IGF-1R |
| LOCALIZATION | Cell membrane/cytoplasm |
| POSITIVE CONTROL | Colon or breast cancers or lung squamous cell carcinoma |
DATASHEETS & SDS
INTERNATIONAL
REFERENCES
1. Appleby PN, et al. (Endogenous Hormones and Breast Cancer Collaborative Group). Insulin-like growth factor 1 (IGF1), IGF binding protein 3 (IGFBP3), and breast cancer risk: pooled individual data analysis of 17 prospective studies. Lancet Oncol. 2010;11(6):530-42. Epub 2010 May 14.
2. Scartozzi M, et al. Insulin-like growth factor 1 expression correlates with clinical outcome in K-RAS wild type colorectal cancer patients treated with cetuximab and irinotecan. Int J Cancer. 2010 Jan 22. [Epub ahead of print].
3. Wernli KJ, et al. Body size, IGF and growth hormone polymorphisms, and colorectal adenomas and hyperplastic polyps. Growth Horm IGF Res. 2010 (May 24).
4. Ludovini V. High coexpression of both insulin-like growth factor receptor-1 (IGFR-1) and epidermal growth factor receptor (EGFR) is associated with shorter diseasefree survival in resected non-small-cell lung cancer patients. Ann Oncol. 2009 May;20 (5):842-9. Epub 2009 Jan 19.
5. Creighton CJ, et al. Insulin-like growth factor-I activates gene transcription programs strongly associated with poor breast cancer prognosis. J Clin Oncol. 2008 Sep 1;26(25):4078-85.
6. Fukuda R, et al. Insulin-like growth factor 1 induces hypoxia-inducible factor 1-mediated vascular endothelial growth factor expression, which is dependent on MAP kinase and phosphatidylinositol 3-kinase signaling in colon cancer cells. J Biol Chem. 2002 Oct 11;277(41):38205-11. Epub 2002 Jul 30.
7. Center for Disease Control Manual. Guide: Safety Management, NO. CDC-22, Atlanta, GA. April 30, 1976 “Decontamination of Laboratory Sink Drains to Remove Azide Salts.”
8. National Committee for Clinical Laboratory Standards (NCCLS). Protection of laboratory workers from infectious diseases transmitted by blood and tissue; proposed guideline. Villanova, PA 1991;7(9). Order code M29-P.





Reviews
There are no reviews yet.