Description
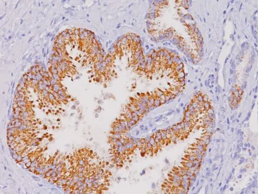
P504S, also known as α-methylacyl coenzyme A racemase (AMACR), is a peroxisomal and mitochondrial enzyme that plays a role in bile acid synthesis and β-oxidation of branched chain fatty acids. P504S was initially identified from a cDNA library as a gene that is overexpressed in human prostate cancer; with little or no expression in normal prostate. In immunohistochemistry, P504S (P) antibody has been shown to be a specific marker of prostatic adenocarcinoma. Additionally, prostate glands involved in PIN have been found to express P504S, whereas P504S was nearly undetectable in benign glands.
SPECIFICATIONS
Specifications
| WEIGHT | N/A | 
|---|---|
| DIMENSIONS | N/A | 
| INTENDED USE | ASR | 
| SPECIES REACTIVITY | Human | 
| SOURCE | Rabbit Polyclonal | 
| CLONE | N/A | 
| ISOTYPE | N/A | 
| ANTIGEN | P504S | 
| LOCALIZATION | Granular and Cytoplasmic | 
| POSITIVE CONTROL | Prostate cancer | 
DATASHEETS & SDS
REFERENCES
1. Ferdinandusse S, et. al. Subcellular localization and physiological role of α-
methylacyl-CoA racemase. J Lipid Res. 2000; 41:1890-6.
2. Xu J, et. al. Identification of Differentially Expressed Genes in Human Prostate
Cancer Using Subtraction and Microarray. Cancer Res. 2000; 60:1677-82.
3. Rubin MA, et. al. α-Methylacyl Coenzyme A Racemase as a Tissue Biomarker for
Prostate Cancer. JAMA. 2002; 287:1662-70.
4. Luo J, et. al. Alpha-methylacyl-CoA racemase: a new molecular marker for prostate
cancer. Cancer Res. 2002; 62:2220-6.
5. Zhou M, et. al. Alpha-Methylacyl-CoA Racemase A Novel Tumor Marker
Overexpressed in Several Human Cancers and Their Precursor Lesions. Am J Surg
Pathol. 2002; 26:926-31.
6. Wu CL, et. al. Analysis of α-Methylacyl-CoA Racemase (P504S) Expression in
High-Grade Prostatic Intraepithelial Neoplasia. Hum Pathol. 2004; 35:1008-13.
7. Center for Disease Control Manual. Guide: Safety Management, NO. CDC-22,
Atlanta, GA. April 30, 1976 “Decontamination of Laboratory Sink Drains to Remove
Azide Salts.”
8. Clinical and Laboratory Standards Institute (CLSI). Protection of Laboratory
Workers from Occupationally Acquired Infections; Approved guideline-Third Edition
CLSI document M29-A3 Wayne, PA 2005.
								




			
Reviews
There are no reviews yet.