Description
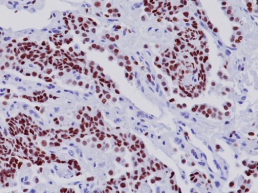
Thyroid transcription factor-1 (TTF-1) is a member of the NKX2 family of homeodomain transcription factors. It is expressed in epithelial cells of the thyroid gland and the lung. Nuclei from liver, stomach, pancreas, small intestine, colon, kidney, breast, skin, testes, pituitary, prostate and adrenal glands are not reactive. TTF-1 is detected in primary lung adenocarcinomas and small cell carcinomas. It is absent in mesotheliomas, colon cancer and breast cancer. TTF-1 can be very useful when used in a panel with CK7, CK20, CDX2, Villin and CA125 antibodies.
SPECIFICATIONS
Specifications
| WEIGHT | N/A |
|---|---|
| DIMENSIONS | N/A |
| INTENDED USE | IVD |
| SPECIES REACTIVITY | Human |
| SOURCE | Mouse Monoclonal |
| CLONE | 8G7G3/1 |
| ISOTYPE | IgG1 |
| ANTIGEN | TTF-1 (Thyroid transcription factor-1) |
| LOCALIZATION | Nuclear |
| POSITIVE CONTROL | Lung adenocarcinoma or thyroid |
DATASHEETS & SDS
| Download Data Sheet |
| Download RUO Data Sheet for International |
| Download SDS Sheet |
Regulatory Notice: Biocare’s IVD-labeled products comply with US-FDA and European IVDD regulation. Other regions may have additional requirements for such labeling, please contact your local distributor.
REFERENCES
1. Di Loreto C, et al. TTF-1 protein expression in pleural malignant mesotheliomas
and adenocarcinomas of the lung. Cancer Lett 1998 Feb 13;124(1):73-78.
2. Di Loreto C, et al. Immunocytochemical expression of tissue specific transcription
factor-1 in lung carcinoma. J Clin Pathol 1997 Jan;50(1):30-32.
3. Stahlman MT, Gray ME, Whitsett JA. Expression of thyroid transcription factor-1
(TTF-1) in fetal and neonatal human lung. J Histochem Cytochem 1996 Jul;44(7):673
-678.
4. Bejarano PA, et al. Surfactant proteins and thyroid transcription factor-1 in
pulmonary and breast carcinomas. Mod Pathol 1996 Apr;9(4):445-452.
5. Fabbro D, et al. TTF-1 gene expression in human lung tumours. Eur J Cancer 1996
Mar;32A(3):512-517.
6. Holzinger A, et al. Monoclonal antibody to thyroid transcription factor-1:
production, characterization, and usefulness in tumor diagnosis. Hybridoma 1996
Feb;15(1):49-53.
7. Center for Disease Control Manual. Guide: Safety Management, NO. CDC-22,
Atlanta, GA. April 30, 1976 “Decontamination of Laboratory Sink Drains to Remove
Azide Salts.”
8. Clinical and Laboratory Standards Institute (CLSI). Protection of Laboratory
workers from occupationally Acquired Infections; Approved guideline-Third Edition
CLSI document M29-A3 Wayne, PA 2005.





Reviews
There are no reviews yet.