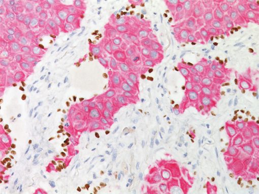
TTF-1 + CK5

Description

Thyroid transcription factor-1 (TTF-1) is a member of the NKX2 family of homeodomain transcription factors. It is expressed in epithelial cells of the thyroid gland and lung. TTF-1 has been shown to be a sensitive (65-81%) and specific marker (94%) in the majority of primary lung adenocarcinomas. Studies have shown that TTF-1, used in combination with Napsin A, provided 93% sensitivity and 100% specificity for lung adenocarcinoma, if CK5 and Desmoglein 3 were both negative in the same case.

CK5 is a type II intermediate filament protein that is expressed in active basal layers of most stratified squamous epithelia. In a published study, rabbit monoclonal CK5 antibody was compared to mouse monoclonal CK5/6. CK5 was 84% sensitive and 100% specific for lung squamous cell carcinoma (SqCC) when compared to CK5/6 (80% sensitivity and 97% specificity). CK6 mRNA has been detected in lung adenocarcinomas; thus CK5 alone, may be a more specific marker than CK5/6. Studies have shown that CK5, used in combination with Desmoglein 3, provided 93.7% sensitivity with 100% specificity for lung SqCC.

TTF-1 (lung adenocarcinoma) is stained with DAB chromogen, and CK5 rabbit monoclonal (lung SqCC) is stained with a Fast Red chromogen. In most lung cancers tested, only a single antibody stain will be observed. Co-expressions of both antibodies may be an indication of adenosquamous cell carcinomas. When used in combination with Desmoglein 3 and Napsin A, a 93% staining sensitivity and 100% specificity was achieved for lung adenocarcinoma, and a 93.7% sensitivity and 100% specificity was achieved for lung SqCC; therefore, the antibody combination of TTF-1 + CK5 is a first class screener for discriminating between lung adenocarcinoma (TTF-1) vs. lung SqCC (CK5).

SPECIFICATIONS

Specifications

WEIGHT N/A
DIMENSIONS N/A
INTENDED USE
SPECIES REACTIVITY Human
SOURCE Mouse MonoclonalRabbit Monoclonal
CLONE 8G7G3/1 EP42
ISOTYPE IgG1, IgG
ANTIGEN TTF-1 CK5
LOCALIZATION Nuclear Cell Surface/Cytoplasmic
POSITIVE CONTROL Lung adenocarcinoma (TTF-1); lung SqCC (CK5)
DATASHEETS & SDS
Download DS Data Sheet
Download RUO Data Sheet for International
Download SDS Sheet

Regulatory Notice: Biocare’s IVD-labeled products comply with US-FDA and European IVDD regulation. Other regions may have additional requirements for such labeling, please contact your local distributor.

REFERENCES

1. Mukhopadhyay S, Katzenstein AL. Subclassification of non-small cell lung carcinomas lacking morphologic differentiation on biopsy specimens: Utility of an immunohistochemical panel containing TTF-1, napsin A, p63, and CK5/6. Am J Surg Pathol. 2011 Jan; 35(1):15-25.
2. Tacha D, Yu C, Haas T. TTF-1, Napsin A, p63, TRIM29, Desmoglein-3 and CK5: An Evaluation of Sensitivity and Specificity and Correlation of Tumor Grade for Lung Squamous Cell Carcinoma vs. Lung Adenocarcinoma. Modern Pathology; Volume 24, Supplement 1, Feb 2011, Abstract 1808 page 425A.
3. Tacha D, Zhou D, Henshall-Powell RL¹. Distinguishing Adenocarcinoma from Squamous Cell Carcinoma in Lung Using Double Stains p63+ CK5 and TTF-1 + Napsin A. Modern Pathology; Pathology Volume 23, Supplement 1, Feb 2010; Abstract 1852, page 222A.
4. Terry J, et al. Optimal immunohistochemical markers for distinguishing lung adenocarcinomas from squamous cell carcinomas in small tumor samples. Am J Surg Pathol. 2010 Dec; 34(12):1805-11.
5. Kargi A, Gurel D, Tuna B. The diagnostic value of TTF-1, CK 5/6, and p63 immunostaining in classification of lung carcinomas. Appl Immunohistochem Mol Morphol. 2007 Dec; 15(4):415-20.
6. Downey P, et al. If it’s not CK5/6 positive, TTF-1 negative it’s not a squamous cell carcinoma of lung. APMIS 2008 Jun; 116(6):526-9.
7. Center for Disease Control Manual. Guide: Safety Management, NO. CDC-22, Atlanta, GA. April 30, 1976 “Decontamination of Laboratory Sink Drains to Remove Azide Salts.”
8. Clinical and Laboratory Standards Institute (CLSI). Protection of Laboratory workers from occupationally Acquired Infections; Approved guideline-Third Edition CLSI document M29-A3 Wayne, PA 2005.

Reviews

There are no reviews yet.

Be the first to review “TTF-1 + CK5”

Your email address will not be published. Required fields are marked *