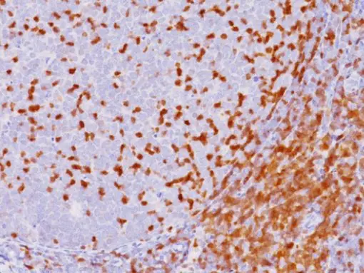
Description
Zeta-associated protein-70 (ZAP-70 antibody) is a tyrosine kinase normally expressed by natural killer cells and T cells. Several studies have indicated a correlation between ZAP-70 expression and immunoglobulin heavy-chain variable-region (IgVH) mutational status in the leukemic cells of chronic lymphocytic leukemia (CLL), with ZAP-70 suggested as a surrogate marker for IgHV mutational status. The mutational status of IgVH genes in CLL is an important prognostic factor in the disease and ZAP-70 overexpression indicates an unfavorable disease course in terms of progression and overall survival.
SPECIFICATIONS
Specifications
| WEIGHT | N/A |
|---|---|
| DIMENSIONS | N/A |
| INTENDED USE | IVD |
| SPECIES REACTIVITY | Human, Mouse, Rat |
| SOURCE | Mouse Monoclonal |
| CLONE | BC.2F3.2, Biocare Clone |
| ISOTYPE | IgG2a |
| ANTIGEN | ZAP-70 |
| LOCALIZATION | Nuclear blush and cytoplasmic |
| POSITIVE CONTROL | Tonsil |
DATASHEETS & SDS
REFERENCES
1. Crespo et al. ZAP-70 expression as a surrogate for immunoglobulin-variable-region mutations in chronic lymphocytic leukemia. N Engl J Med. 2003 May 1;348(18):1764-75.
2. Center for Disease Control Manual. Guide: Safety Management, NO. CDC-22, Atlanta, GA. April 30, 1976 “Decontamination of Laboratory Sink Drains to Remove Azide Salts.”
3. National Committee for Clinical Laboratory Standards(NCCLS). Protection of laboratory workers from infectious diseases transmitted by blood and tissue; proposed guideline. Villanova, PA 1991;7(9). Order code M29-P.





Reviews
There are no reviews yet.