CD19

Categories: , ,

Description

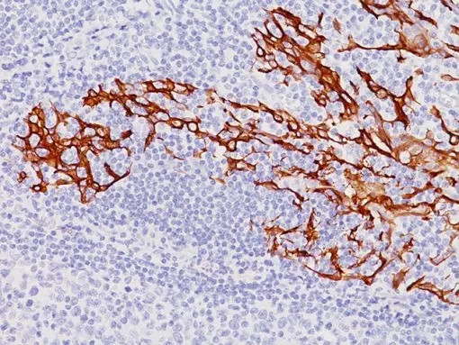
CD19 recognizes a 95kD cell surface glycoprotein, which is expressed by cells of the B-cell lineage and follicular dendritic cells. CD19 is a coreceptor of CD21 and is an important signal transduction molecule which is involved in the regulation of B lymphocyte development, activation and differentiation. Among the B-cell genes that are present in early B-cell development and are upregulated by Pax-5 are CD19 and CD79a. CD19 is found in pre-B cells, B cells (considered a pan Bcell antigen); first B-cell antigen after HLA-DR and follicular dendritic cells. CD19 is absent in plasma cells, most T-cell lymphomas and in lymphocyte predominant Hodgkin’s. It has been observed in lymphomas and leukemias but often weak/negative in follicular lymphoma or diffuse large B-cell lymphoma.

SPECIFICATIONS

Specifications

WEIGHT N/A
DIMENSIONS N/A
INTENDED USE IVD
SPECIES REACTIVITY Human
SOURCE Mouse Monoclonal
CLONE CD19
ISOTYPE IgG1
ANTIGEN CD19
LOCALIZATION Cytoplasmic/membrane
POSITIVE CONTROL Tonsil
DATASHEETS & SDS
Download Data Sheet
Download RUO Data Sheet
Download SDS Sheet

Regulatory Notice: Biocare’s IVD-labeled products comply with US-FDA and European IVDD regulation. Other regions may have additional requirements for such labeling, please contact your local distributor.

REFERENCES

1. Masir N, et al. Histopathology. 2006 Feb; 48(3):239-46.
2. Ferkolj I, Ihan A, Markovic S. Hepatogastroenterology. 2005 Jul-Aug; 52(64):1128-33.
3. Ginaldi L, et al. J Clin Pathol. 1998 May; 51(5):364-9.

Reviews

There are no reviews yet.

Be the first to review “CD19”

Your email address will not be published. Required fields are marked *