Description
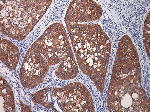
Tripartite motif-containing 29 (TRIM29 antibody) is also known as ataxia-telangiectasia group D complementing gene (ATDC). A high expression of TRIM29 antibody has been reported in gastric and pancreatic cancers and correlates with enhanced tumor growth and lymph node metastasis. In-house studies showed that TRIM29 was able to aid in distinguishing lung squamous cell carcinoma from lung adenocarcinoma with a 92% positive accuracy if used in a panel with antibodies such as TTF-1, p63, CK5/6 and Napsin A. Studies have also shown that TRIM29 expression is strongly associated with histological grade, tumor size, extent of invasion and poorer survival rates.
SPECIFICATIONS
Specifications
| WEIGHT | N/A |
|---|---|
| DIMENSIONS | N/A |
| INTENDED USE | IVD |
| SPECIES REACTIVITY | Human |
| SOURCE | Rabbit Polyclonal |
| CLONE | N/A |
| ISOTYPE | IgG |
| ANTIGEN | TRIM29 recombinant protein epitope signature tag (PrEST) |
| LOCALIZATION | Cytoplasmic, Membrane |
| POSITIVE CONTROL | Lung squamous cell carcinoma |
DATASHEETS & SDS
| Download Data Sheet |
| Download RUO Data Sheet for International |
| Download SDS Sheet |
Regulatory Notice: Biocare’s IVD-labeled products comply with US-FDA and European IVDD regulation. Other regions may have additional requirements for such labeling, please contact your local distributor.
REFERENCES
1. Ring BZ, et al. A novel five-antibody immunohistochemical test for subclassification of lung carcinoma. Mod Pathol. 22(8): 1032-43. 2009.
2. Kosaka Y, et al. Tripartite motof-containing 29 (TRIM29) is a novel marker for lymph node metastasis in gastric cancer. Ann Surg Oncol. 14(9): 2543-9. 2007.
3. Center for Disease Control Manual. Guide: Safety Management, NO. CDC-22, Atlanta, GA. April 30, 1976 “Decontamination of Laboratory Sink Drains to Remove Azide Salts.”
4. National Committee for Clinical Laboratory Standards (NCCLS). Protection of laboratory workers from infectious diseases transmitted by blood and tissue; proposed guideline. Villanova, PA 1991;7(9). Order code M29-P.





Reviews
There are no reviews yet.